Главная » Категория:
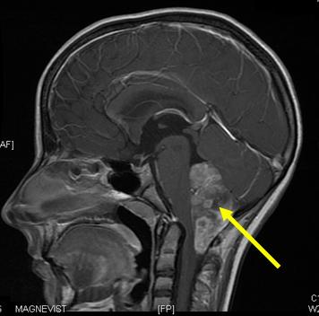
Опухоли головного мозга
Однако в последние годы врачи стали чаще применять химиотерапевтические методы при лечении рака головного мозга, в комплексе с хирургическим вмешательством и курсом лучевой терапии. В настоящее время существует несколько химиотерапевтических препаратов позволяющих эффективно бороться с раком головного мозга.
Нейро-онкологическое отделение клиники Ассута в Тель Авиве участвует в различных программах по разработке новых химиотерапевтических препаратов для лечения рака мозга. Во время клинических испытаний мы постоянно тестируем новые препараты и лекарственные комплексы, которые повысят эффективность лечения рака мозга.
Если вам сделали биопсию в нашем центре лечения опухолей головного мозга, то патоморфолог возьмет образцы опухолевой ткани, чтобы определить какой вид химиотерапии будет наиболее эффективным. Даже в случае если вам не назначат курс химиотерапии сразу, опухолевую ткань сохраняют на какое- то время на случай, если болезнь будет прогрессировать.
Исследование молекулярных признаков вашей опухоли позволит химиотерапевту решить следует ли допускать вас к участию в клинических испытаниях новых экспериментальных методов лечения опухолей с особыми молекулярными характеристиками.
В настоящее время специалисты медицинского центра "Ассута" проводят клинические испытания, чтобы выяснить насколько эффективным будет использование темозоломида при лечении глиобластомы и других высоко и низкодифференцированных видов глиом.
Есть еще 2 препарата, применяемых при лечении опухолей головного мозга: Кармустин и Иомустин. Оба лекарства состоят из небольших молекул способных преодолеть гематоэнцефалический барьер.
Израильские ученые в сотрудничестве с американскими коллегами установили, что некоторые разновидности олигодендром можно вылечить только с помощью определенных лекарств: Темозоломида или лекарственного комплекса PCV (Прокарбазин, СИНУ и Винкристин).
К этой группе инновационных лекарств относятся:
Ингибиторы ангиогенеза, такие как Бевациумаб (Авастин), предотвращающие рост сосудов опухоли, которые снабжают ее питательными веществами и разносят по организму ингибиторы фактора роста, которые не дают факторам роста опухоли дойти до рецепторов и помешать действию лекарств, которые борются с раковыми клетками в организме, не давая им делиться и размножаться.
Ученые выясняют, будет ли эффективным лечение, если при химиотерапии использовать ингибиторы ангиогенеза и обычные химиотерапевтические препараты (Темозоломид и Иринотекан)
Использование ингибиторов ангиогенеза вместе с биологическими препаратами, например ингибиторами трансдукции сигнала, позволит повысить эффективность лучевой терапии. Этот комплексный подход повысил эффективность лучевой терапии при лечении опухолей головного мозга.
На клинических испытаниях, проводимых медицинским центром «Ассута», специалисты оценивают, насколько эффективным будет лечение, если одновременно использовать методы комплексной и лучевой терапии.
Хотя этот метод сейчас находится в стадии разработки, ученые предсказывают, что он откроет новые возможности, которые позволят более эффективно устранять раковые клетки и снизить побочные эффекты лечения.
Автор: OSG Israel
Клиника Ассута
Категория: Опухоли головного мозга | Просмотров: 1456
|
2015-03-01
Лечение рака мозга
Операция - лишь первый шаг в лечении рака мозга. Для достижения полного результата как правило, нужно облучение или иммунотерапия. Наиболее сложно поддаются лечению рецидивы опухолей мозга или метастазы. В задачу наших врачей в сложных случаях становится продление срока жизни и сохранение ее качества.
Химиотерапия и инновационные методы лечения
Существует ограниченное число химиотерапевтических препаратов для лечения рака головного мозга. Побочные эффекты химиотерапии для головного мозга могут быть гораздо сильнее, чем при использовании этого вида лечения для других пораженных раком органов человека. Кроме того немногие лекарства могут пройти так называемый гематоэнцефалический барьер, «стену», которая защищает мозг, выбрасывая токсины, попадающие в ткани мозга и в кровоток.Однако в последние годы врачи стали чаще применять химиотерапевтические методы при лечении рака головного мозга, в комплексе с хирургическим вмешательством и курсом лучевой терапии. В настоящее время существует несколько химиотерапевтических препаратов позволяющих эффективно бороться с раком головного мозга.
Нейро-онкологическое отделение клиники Ассута в Тель Авиве участвует в различных программах по разработке новых химиотерапевтических препаратов для лечения рака мозга. Во время клинических испытаний мы постоянно тестируем новые препараты и лекарственные комплексы, которые повысят эффективность лечения рака мозга.
Индивидуальный подход к химиотерапии
Исследования показывают, что раковые клетки со специфическими генетическими мутациями отвечают на определенные лекарства определенным образом. У нас выполняют новейшие генетические и молекулярные тесты при опухолях головного мозга. При назначении курса химиотерапии химиотерапевты используют данные гистологии вашей опухоли для целевого, точного подбора необходимого препарата.Если вам сделали биопсию в нашем центре лечения опухолей головного мозга, то патоморфолог возьмет образцы опухолевой ткани, чтобы определить какой вид химиотерапии будет наиболее эффективным. Даже в случае если вам не назначат курс химиотерапии сразу, опухолевую ткань сохраняют на какое- то время на случай, если болезнь будет прогрессировать.
Исследование молекулярных признаков вашей опухоли позволит химиотерапевту решить следует ли допускать вас к участию в клинических испытаниях новых экспериментальных методов лечения опухолей с особыми молекулярными характеристиками.
Химиотерапия при опухолях головного мозга
Темозоломид - широко распространенное лекарство, применяемое при лечении глиобластомы, которое препятствует делению раковых клеток. Применение препарата позволило значительно увеличить уровень выживаемости пациентов на ранних стадиях глиобластомы. Поскольку темозоломид состоит из маленьких молекул, он легко преодолевает гематоэнцефалический барьер и воздействует на ткани, недоступные для других химиотерапевтических препаратов.В настоящее время специалисты медицинского центра "Ассута" проводят клинические испытания, чтобы выяснить насколько эффективным будет использование темозоломида при лечении глиобластомы и других высоко и низкодифференцированных видов глиом.
Есть еще 2 препарата, применяемых при лечении опухолей головного мозга: Кармустин и Иомустин. Оба лекарства состоят из небольших молекул способных преодолеть гематоэнцефалический барьер.
Израильские ученые в сотрудничестве с американскими коллегами установили, что некоторые разновидности олигодендром можно вылечить только с помощью определенных лекарств: Темозоломида или лекарственного комплекса PCV (Прокарбазин, СИНУ и Винкристин).
Новые виды химиотерапии
В Израиле уже используют новые виды лекарств, которые препятствуют росту раковых клеток, и особенно часто применяются при лечении высоко-дифференцированных злокачественных опухолей, которые не всегда поддаются лечению.К этой группе инновационных лекарств относятся:
Ингибиторы ангиогенеза, такие как Бевациумаб (Авастин), предотвращающие рост сосудов опухоли, которые снабжают ее питательными веществами и разносят по организму ингибиторы фактора роста, которые не дают факторам роста опухоли дойти до рецепторов и помешать действию лекарств, которые борются с раковыми клетками в организме, не давая им делиться и размножаться.
Комплексная терапия
Комплексная терапия эффективно борется с раком в случаях, когда болезнь не поддается другим видам лечения.Ученые выясняют, будет ли эффективным лечение, если при химиотерапии использовать ингибиторы ангиогенеза и обычные химиотерапевтические препараты (Темозоломид и Иринотекан)
Использование ингибиторов ангиогенеза вместе с биологическими препаратами, например ингибиторами трансдукции сигнала, позволит повысить эффективность лучевой терапии. Этот комплексный подход повысил эффективность лучевой терапии при лечении опухолей головного мозга.
На клинических испытаниях, проводимых медицинским центром «Ассута», специалисты оценивают, насколько эффективным будет лечение, если одновременно использовать методы комплексной и лучевой терапии.
Иммунотерапия
Иммунотерапия – метод, при котором на иммунную систему человека оказывают определенное воздействие, чтобы он сам мог бороться с раковыми клетками. Израильские ученые, совместно с ведущими нейро-онкологами, разрабатывают моноклональные антитела, которые могут оставлять особые белки на поверхности опухоли. Иммунная система человека распознает эти антитела и удаляет их вместе с раковыми клетками, на которых они располагаются.Хотя этот метод сейчас находится в стадии разработки, ученые предсказывают, что он откроет новые возможности, которые позволят более эффективно устранять раковые клетки и снизить побочные эффекты лечения.
Автор: OSG Israel
Категория: Опухоли головного мозга | Просмотров: 1456
|
Дополнительная информация
Оставьте ваш комментарий
| Всего комментариев: 0 | |

В нашем центре лечения опухолей головного мозга работают лучшие специалисты, имеющие больш...
Краниотомия – это трепанация черепа, которая выполняется открытым или эндоскопич...
Профессор Тали Сигаль - руководитель Нейро-онкологического подразденения Гематологического отде...
Профессор Шалом Михович, доктор медицины, ведущий нейрохирург Израиля. Он возглавляет...
Профессор Цви Раппапорт – нейрохирург, специалист в области нейрохирургии и, в особенност...
Профессор Моше Хадани - Заведующий отделением нейрохирургии МЦ «Шиба»&nbs...
Специалисты нашего Медицинского центра "
Краниотомия в сознании или трепанация черепа, выполняется малоинвазивным, эндоскопическим, спос...
