Главная » Категория:
Опухоли головного мозга
Хирургическое вмешательство - наиболее эффективный метод лечения опухолей головного мозга, которые можно удалить без повреждения здоровых тканей. Хотя не все виды опухолей головного мозга можно удалить полностью хирургическое вмешательство применяется при диагностировании и лечении многих видов первичных опухолей головного мозга.
Удаление опухоли частичное или полное способствует снижению внутричерепного давления. Она смягчит проявления болезни, улучшит функционирование нервной системы и качество жизни пациента.
Краниотомия - самая востребованная операция в Ассуте.
Хотя выбор методов лечения зависит от каждого конкретного случая, и наши специалисты не всегда применят все возможные методы, существует несколько основных методов, регулярно используемых при удалении опухолей головного мозга.
Передовые визуальные технологии
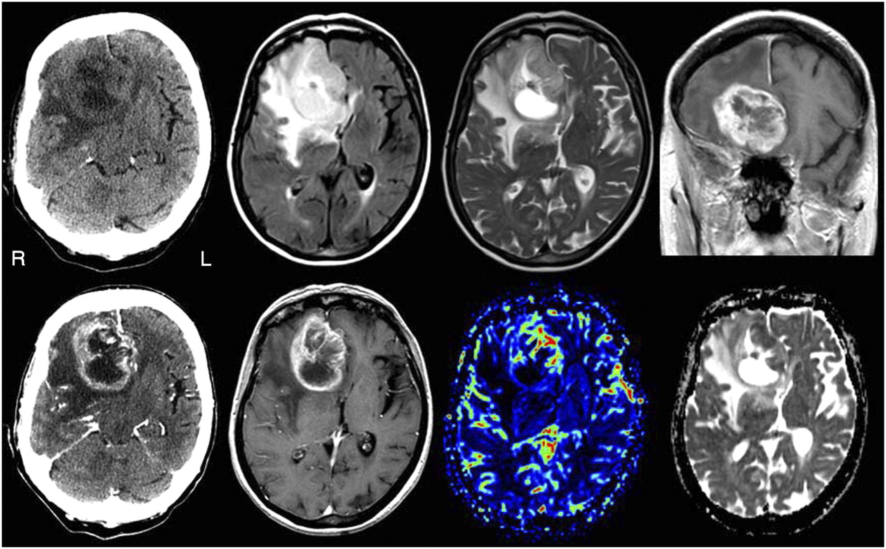
Использование новейших технологий визуализации позволило врачам увидеть мозг детально, что в свою очередь, помогло повысить точность, эффективность и безопасность операций.
Этот минимально инвазивный метод позволяет хирургам делать меньшие надрезы, чем в традиционной хирургии, и выполнять микрохирургические операции, что наносит меньший вред здоровым тканям.
Исследования показывают, что чем опытней врач, тем больше вероятность положительного исхода операции. Врачи «Ассуты» проводят множество операций по удалению опухолей головного мозга каждый год, применяя при этом самые современные и эффективные методы диагностики и лечения.
Автор: OSG Israel
Клиника Ассута
Категория: Опухоли головного мозга | Просмотров: 1389
|
2015-03-01
Операция при опухоли головного мозга
Краниотомия - самая востребованная операция в Ассуте.
Хотя выбор методов лечения зависит от каждого конкретного случая, и наши специалисты не всегда применят все возможные методы, существует несколько основных методов, регулярно используемых при удалении опухолей головного мозга.
Передовые визуальные технологии
Использование новейших технологий визуализации позволило врачам увидеть мозг детально, что в свою очередь, помогло повысить точность, эффективность и безопасность операций.
Операции на головном мозге без наркоза
Так называемая краниотомия в сознании предполагает использование местной анестезии и внутривенные инъекции, которые действуют как успокоительное, но при этом пациент находится в сознании. Во время операции вас будят и могут попросить что - то сказать или пошевелиться, чтобы убедиться, что опухоль удаляют правильно, а участки мозга, отвечающие за речь или движение, не затронуты.Минимально - инвазивные операции: Нейроэндоскопия
Нейрохирурги выполняют хирургическое вмешательство с помощью особого минимально инвазивного метода – нейроэндоскопии. В черепе делается небольшой надрез. Операция выполняется с использованием тоненькой трубки оборудованной сильными линзами, видеокамерой с высоким разрешением и хирургическими инструментами небольших размеров.Этот минимально инвазивный метод позволяет хирургам делать меньшие надрезы, чем в традиционной хирургии, и выполнять микрохирургические операции, что наносит меньший вред здоровым тканям.
Исследования показывают, что чем опытней врач, тем больше вероятность положительного исхода операции. Врачи «Ассуты» проводят множество операций по удалению опухолей головного мозга каждый год, применяя при этом самые современные и эффективные методы диагностики и лечения.
Автор: OSG Israel
Категория: Опухоли головного мозга | Просмотров: 1389
|
Дополнительная информация
Оставьте ваш комментарий
| Всего комментариев: 0 | |

В нашем центре лечения опухолей головного мозга работают лучшие специалисты, имеющие больш...
Краниотомия – это трепанация черепа, которая выполняется открытым или эндоскопич...
Профессор Тали Сигаль - руководитель Нейро-онкологического подразденения Гематологического отде...
Профессор Шалом Михович, доктор медицины, ведущий нейрохирург Израиля. Он возглавляет...
Профессор Цви Раппапорт – нейрохирург, специалист в области нейрохирургии и, в особенност...
Профессор Моше Хадани - Заведующий отделением нейрохирургии МЦ «Шиба»&nbs...
Специалисты нашего Медицинского центра "
Краниотомия в сознании или трепанация черепа, выполняется малоинвазивным, эндоскопическим, спос...
